Размер шрифта:
Цвет:
Изображение:

Диагностика

 Ортопантомограмма (ОПТГ)
Ортопантомограмма ОПТГ 

Панорамный двухмерный снимок зубов, который является одним из самых востребованных методов диагностики в современной стоматологии.
КТ Компьютерная томография челюстно-лицевой области

Компьютерная томография (КТ)

Современный метод диагностики, который создает детальное трехмерное изображение ваших зубов
Наш КТ-аппарат обладает областью исследования 15×10 см, что позволяет проводить максимально точную и информативную диагностику.
Радиовизиограф

Радиовизиограф

Цифровое оборудование, которое используется стоматологами для проведения компьютеризированного рентгена.
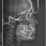
ТРГ Телерентгенография черепа в одной проекции

ТРГ-ДИАГНОСТИКА ТОЧНЫЙ АНАЛИЗ ЧЕЛЮСТНО-ЛИЦЕВОЙ ОБЛАСТИ

Без ТРГ-диагностики ортодонтическое лечение — это "лечение вслепую"!
Телерентгенография (ТРГ) — это специальный рентгеновский снимок черепа в боковой проекции, который позволяет провести точный анализ строения челюстно-лицевой области.
Остались вопросы?

Записаться на приём

Заказать обратный звонок

Задать вопрос